Przekaż 1.5% podatku Psiej Ekipie, KRS 0000697348

Ktoś chciał zakończyć jego życie. My je ratujemy

Dżakuś miał zostać uśpiony. Jego jedyną „winą” było to, że przestał być zdrowy.

Ta historia nigdy nie powinna się wydarzyć. A jednak wydarzyła się — na ulicach Lipnika. O Dżakusiu dowiedzieliśmy się od osób trzecich, które w desperacji próbowały znaleźć dla niego pomoc. Pomoc dla psa właścicielskiego. Psa, który miał dom. Psa, który miał człowieka. Ale człowieka tylko z nazwy.

Bo odpowiedzialność nie kończy się w dniu, gdy pies jest młody, zdrowy i nie sprawia kłopotów. Odpowiedzialność zaczyna się właśnie wtedy, gdy zwierzę cierpi.

Prawdopodobnie już wcześniej wpadł pod samochód. Tym razem jednak ledwo doczołgał się do domu. Gdyby nie reakcja dalszej rodziny oraz obcych ludzi o wielkich sercach — nie dostałby żadnej pomocy.

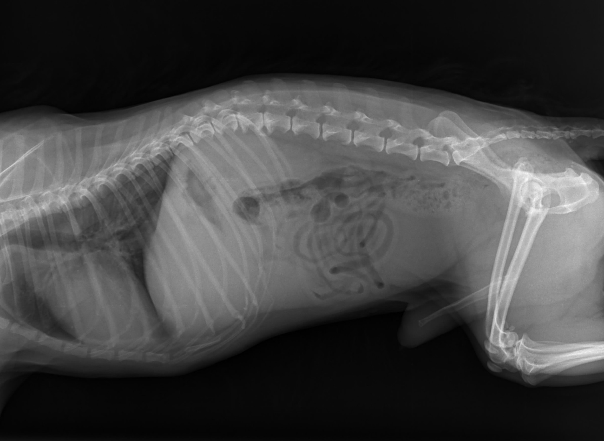
Właściciel od samego początku jasno powiedział, że nie dołoży ani złotówki do leczenia. Gdy usłyszał diagnozę — skomplikowane złamanie łapy, złamanie miednicy i liczne obrażenia — zażądał uśpienia psa.

Nazwijmy to wprost. To nie było „humanitarne uśpienie”. To był wyrok śmierci wydany na żywe, czujące stworzenie. Uśpienie to nie sen. To zatrzymanie serca. To koniec życia.

Czy Dżakuś na to zasłużył? Nie. I nigdy się na to nie zgodzimy. Gdy dowiedzieliśmy się, że nad nim wisi dosłownie ostatnia chwila — nie potrafiliśmy odmówić.

W sobotę natychmiast zawieźliśmy Dżakusia do kliniki w Bohuminie. Otrzymał tam fachową pomoc, pełną diagnostykę, kroplówki i całodobową opiekę szpitalną. Niestety jego stan był znacznie gorszy, niż przypuszczaliśmy.

Dodatkowo wykryto anaplazmozę, poważne problemy z krwią oraz dramatycznie złe wyniki morfologii i biochemii. Aby mógł zostać zoperowany, konieczna była pilna transfuzja krwi. Po krew musieliśmy jechać aż do Katowic. Koszt samej krwi wyniósł 900 zł.

Przed Dżakusiem kilka operacji. Każda trudna, długa i bardzo obciążająca dla jego wyniszczonego ciała. Leczenie prowadzone jest etapami tylko po to, by miał szansę to wszystko przeżyć.

Koszt samego leczenia i operacji to około 13 000 zł. Do tego dojdą kontrole, dalsze leczenie oraz długa i kosztowna rehabilitacja — kolejne tysiące złotych. Dlatego zakładamy zbiórkę na 18 000 zł.

Nie dlatego, że chcemy. Dlatego, że musimy, jeśli Dżakuś ma chodzić, żyć bez bólu i dostać to, czego nigdy wcześniej nie miał — prawdziwą opiekę.

Ten pies nie walczy tylko o sprawną łapę. On walczy o życie.

Robimy to dla niego. Dla małego, poturbowanego psa, który mimo wszystkiego wciąż chce żyć. Razem — jak zawsze — możemy to zrobić. Razem możemy uratować psa, którego dzieliły minuty od śmierci.

Prosimy o pomoc w opłaceniu leczenia. Dżakuś ma tylko nas: https://www.ratujemyzwierzaki.pl/operacja-dzeki